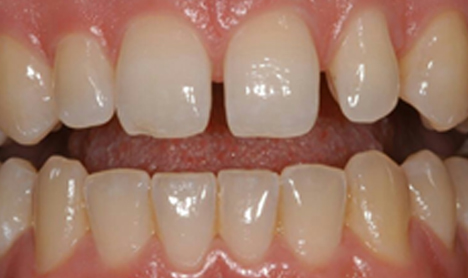
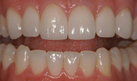
A Smile makeover can be life changing !
“There are hundreds of languages around the world, but a Smile speaks them all”
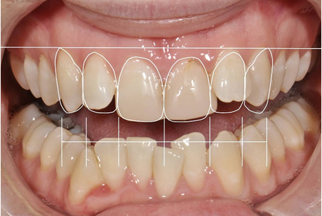
What is Smile Design ?
Smile Design is the process of improving the appearance of smile through one or more cosmetic / restorative dentistry , orthodontic / orthognathic, surgical procedures such as
- Composite restorations
- Ceramic Laminate veneers
- Teeth whitening
- Crowns & Bridges
- Dental Implants
- Orthodontic alignment of teeth
- Periodontal plastic surgery
- Orthognathic surgery
Smile analysis


Types of Smile

Correction of Spacing in front teeth






